top of page
Client 6

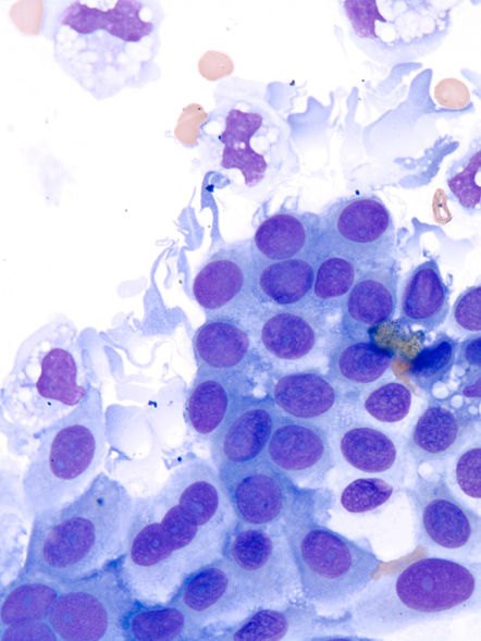
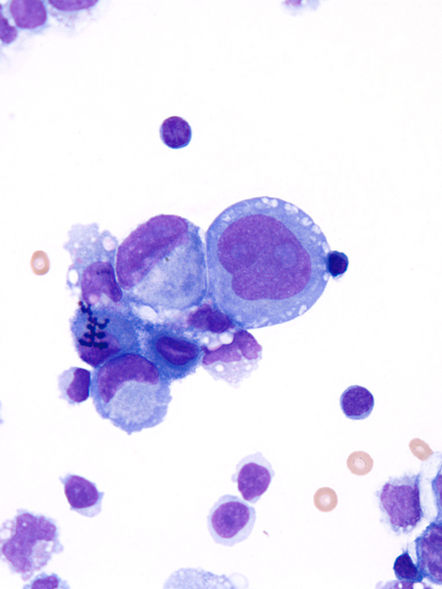
6. Peritoneal Fluid

Mesothelial cells

Infectious processes

Carcinomas

Metastatic melanoma

Lymphomas/Plasma cell neoplasms

  • Facebook
  • Twitter
  • LinkedIn

©2022 by ABCells. Proudly created with Wix.com

bottom of page