top of page
© Copyright

3. Cerebrospinal Fluid
CSF Lining cells
CSF Germinal matrix cells
CSF Chondrocytes
CSF infections
CSF hemorrhage
CSF Bone Marrow contamination
CSF shunt
CSF Acute myeloid leukemia
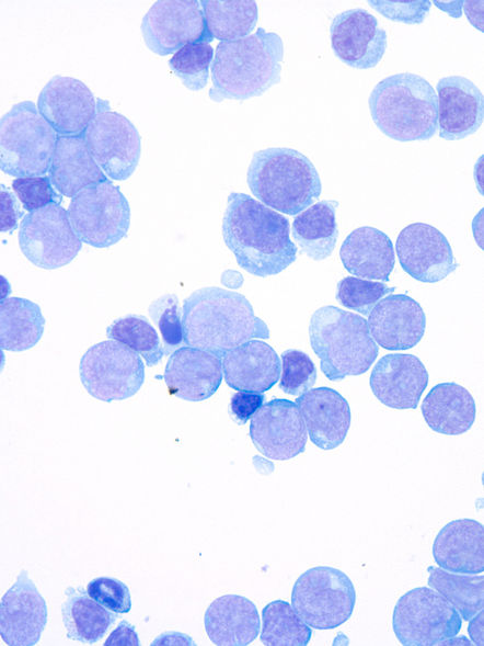
CSF B lymphoblastic leukemia
CSF T lymphoblastic leukemia
CSF leukemia/lymphoma
CSF metastatic carcinoma
CSF Plasma cells
CSF Medulloblastoma
CSF PNET
bottom of page




















































































































